p295 - Gu?rison d'une fusariose diss?min?e ? porte d'entr?e digestive en contexte d'aplasie
A?Karam?(1), B?Sassoloas?(1), A?Boulenger-Vazel?(1), C?Gouedard?(1), JP?Leroy?(2), L?Misery?(1)
(1)Service de Dermatologie, CHU Morvan, Brest
(2)Service d'Anatomo-Pathologie, CHU Morvan, Brest.
Mots cl?s : Fusariose (voriconasole). Voriconasole.
Introduction
Les fusarioses diss?min?es sont l'apanage des immunod?prim?s. L'infection suite ? l'ingestion de grains contamin?s est une ?ventualit? rare dans les pays occidentaux. Nous en rapportons une observation chez un patient aplasique.
Observation
L.L., ?tudiant de 20 ans, est atteint d'une leuc?mie aigu? my?loblastique type 6. Lors de la deuxi?me cure de consolidation double par aracytine et amsacrine, chez ce patient qui se nourrissait exclusivement de c?r?ales et d'aliments ? base de grains de bl? et de ma?s, une aplasie f?brile associ?e ? des myalgies, des douleurs abdominales et une diarrh?e apparaissait. L'ensemble des pr?l?vements microbiologiques ?taient st?riles. L'examen mycologique des selles n'a pas ?t? r?alis?. Une antibioth?rapie probabiliste a ?t? instaur?e. L'apyrexie ?tait obtenue au 22e jour. Six jours plus tard, on constatait une reprise des sympt?mes, auxquelles venaient s'ajouter une tachycardie, un oed?me pulmonaire, des ?panchements pleuraux, suivis de l'apparition de nodules cutan?s dermo-hypodermiques, diffus, sensibles, violines et entour?s d'un halo ?ryth?mateux.
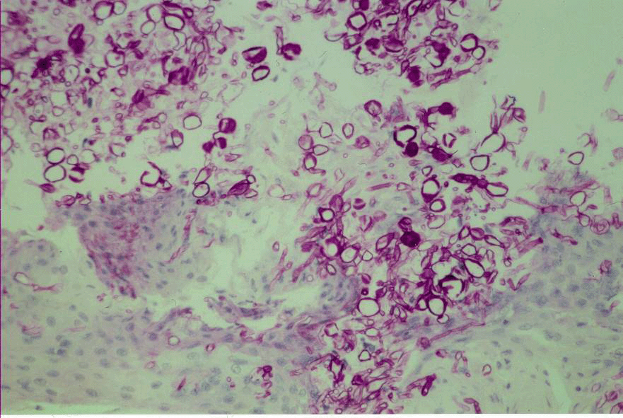
Les examens histologique et microbiologique des biopsies cutan?s r?v?laient la pr?sence du Fusarium moniliforme. La recherche des moisissures s'av?rait positive dans le liquide broncho-alv?olaire, les urines et la moelle osseuse (d?sertique malgr? l'usage des GM-CSF). Les pr?l?vements mycologiques des ongles ?taient n?gatifs. Le traitement par amphot?ricine B et flucytosine, puis par caspofongin ?tait inefficace. Au 66e jour, un traitement par voriconazole associ? ? l'amphot?ricine B et ? des transfusions leucocytaires ?tait instaur?.
L'am?lioration ?tait rapide?: disparition des sympt?mes au 74e jour avec une sortie d'aplasie. Les nodules cutan?s s'abc?daient et se fistulaient, d'autres s'affaissaient. Les pr?l?vements microbiologiques se st?rilisaient une semaine plus tard. L'amphot?ricine B liposomale ?tait arr?t?e. Le voriconazole a ?t? poursuivi par voie orale (400 mg/jour) pendant un an apr?s la sortie d'aplasie. Actuellement et apr?s 18 mois, il n'existe pas de r?cidive.
Discussion
Les fusarium sont des hyalomyc?tes, champignons ? myc?lium hyalin sept?. formant des embranchements dichotomiques. On les isole dans le sol o? ils persistent gr?ce ? des clamydospores. Ils parasitent de nombreuses vari?t?s de plantes, en particulier les c?r?ales et les grains stock?s.
Chez l'homme immunocomp?tent, les macrophages et les granulocytes inhibent et la croissance de ces moisissures. Chez les patients atteints d'h?mopathies malignes, les facteurs favorisants ?tant les traitements immunosuppresseurs de GVHD, la chimioth?rapie aplasiante et la neutrop?nie prolong?e?; l'antibioth?rapie ? large spectre et l'usage d'antifongiques ? titre prophylactique. L'invasion se fait souvent par voie respiratoire (30?%) apr?s inhalation des conidies ou par voie cutan?e (33?%) ? partir d'un foyer ungu?al. Notre observation est originale par la voie d'invasion digestive (tableau clinique inaugur? par des sympt?mes digestifs), ?ventualit? rare dans les pays occidentaux?: en effet, l'?tat mal nutritionnel et l'alimentation bas?e exclusivement sur les grains de bl? et de ma?s chez les patients neutrop?niques potentialisent le pouvoir pathog?ne du fusarium.
Chez notre patient, la diss?mination infectieuse ?tait facilit?e par le fumonsin (mycotoxine diminuant la phagocytose des macrophages). L'amphot?ricine B et la caspofongin ?taient inefficaces. La mo?lle osseuse ne rependait pas aux GM-CSF, elle ?tait intoxiqu?e par le deoxynivalenol, mycotoxine fusarienne ayant une toxicit? m?dullaire?; Les transfusions leucocytaires ?taient primordiaux, elles ont restitue un nombre suffisant des granulocytes permettant l'efficacit?s du voriconazole.
[1] Nelson PE, Dignani MC, Anaissie EJ. Taxonomy, biology, and clinical aspects of Fusarium species. Clin Microbiol Rev 1994?; 7?: 479-504.



