p280 - Infection cutan?e ? Mycobacterium chelonae au cours d'un traitement par infliximab
N?Franck?(1), C?Mateus?(1), E?Dernis?(2), C?Roux?(2), A?Carlotti?(1), N?Dupin?(1), JP?Escande?(1)
(1)Service de Dermatologie et V?n?r?ologie, H?pital Tarnier, Paris
(2)Service de Rhumatologie, H?pital Cochin, Paris.
Mots cl?s : Infliximab (mycobact?riose). Mycobact?rium chelonae (infliximab).
Introduction
Nous rapportons l'apparition d'une infection cutan?e ? Mycobacterium chelonae au cours d'un traitement par anti-TNF alpha.
Observation
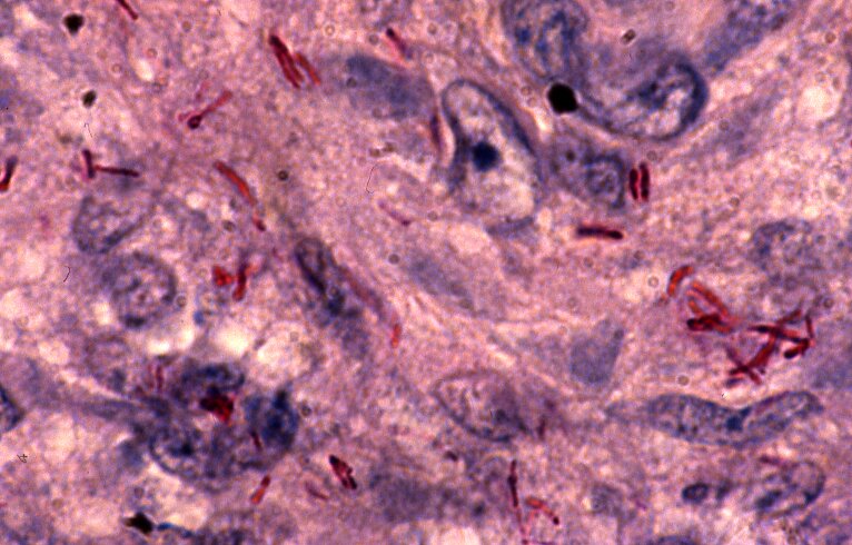
L'infliximab ?tait initi? chez une femme de 65 ans suivie pour une polyartrite rhumato?de (PR), en ?chec des traitements de fond (m?thotrexate, leflunomide, ciclosporine, azathioprine), trait?e par corticoth?rapie g?n?rale depuis 1981 (7 ? 12 mg/j) et methotrexate depuis 20 ans (7,5 mg/semaine). Deux semaines apr?s la troisi?me perfusion d'infliximab (soit 10 semaines apr?s la premi?re) apparaissaient de nombreux (plus de 30) papulonodules ?ryth?mateux, violines, n?crotiques dispos?s de fa?on sporotricho?de sur les 2 jambes. L'examen clinique ?tait normal en dehors des papulonodules et des anomalies articulaires li?es ? la PR. La num?ration formule sanguine retrouvait une lymphop?nie ? 640/ml, la CRP ?tait ? 18 mg/l, la VS ? 92 mm. La recherche d'une tuberculose est rest?e n?gative. L'histologie d'un nodule mettait en ?vidence un infiltrat inflammatoire dermique et hypodermique granulomateux avec des polynucl?aires pycnotiques, des lymphocytes et des histiocytes sans vascularite. De nombreux bacilles acido-alcoolo-r?sistants de grande taille formant des amas ?taient mis en ?vidence par la coloration de Ziehl Nielsen et identifi?s comme Mycobacterium chelonae par PCR (Reverse dot blot INNO-LiPA mycobacterim, MCH-1). La culture d'une biopsie cutan?e pour des probl?mes techniques est rest?e n?gative. Un traitement par clarithromycine (1 g/j) et levofloxacine (1 g/j) a permis une am?lioration clinique apr?s 6 semaines puis une quasi disparition des l?sions apr?s 12 semaines de traitement.
Discussion
Il s'agit du premier cas d'infection cutan?e ? mycobact?rie non tuberculeuse rapport?e au cours d'un traitement par infliximab. L'infliximab est un anticorps monoclonal anti tumor-necrosis-factor(TNF)-alpha, chim?rique, dont les indications sont les PR et la maladie de Crohn r?fractaires aux traitements conventionnels. Le TNF-alpha, cytokine proinflammatoire, joue un r?le dans la r?ponse anti-infectieuse. Le blocage de son activit? peut augmenter le risque d'infection, en particulier chez des patients pr?sentant des anomalies pr?existantes de la r?gulation immune (maladie dysimmunitaire, immunod?pression iatrog?ne par corticoth?rapie et immunosuppresseurs). Environ 70 ? 80 cas de r?activation de tuberculose latente sous traitement par infliximab ont ?t? rapport?s, dont certaine ?taient des tuberculoses diss?min?es, fatales. Dans plus de la moiti? des cas les signes survenaient au cours des 3 premi?res perfusions d'infliximab [1, 2]. Ont ?t? ?galement rapport?es de rares observations d'histoplasmose, aspergillose, pneumocystose, list?riose, infection g?n?ralis?e ? cytom?galovirus survenant au cours de traitement par infliximab.
Mycobacterium chelonae, germe saprophyte, ubiquitaire dans l'environnement, est un pathog?ne potentiel parfois impliqu? dans des infections cutan?es, des parties molles, des ost?omy?lites, des infections postchirurgicales, des pneumopathies... rarement dans des infections dissemin?es chez des patients immunod?prim?s. Une infection cutan?e ? Mycobacterium chelonae a ?t? rapport?e chez un patient atteint d'une PR trait? par prednisone et methotrexate pr?sentant donc une immunosuppression iatrog?ne [3]. La patiente dont l'observation est rapport?e pr?sentait avant l'introduction de l'infliximab une immunod?pression iatrog?ne (prednisone, m?thotrexate, lymphop?nie), facteur de risque d'infection. N?anmoins, la chronologie de l'apparition de l'infection cutan?e ? Mycobacterium chelonae dans l'observation rapport?e est compatible avec un r?le causal et/ou aggravant de l'infliximab.
[1] Keane J, Gershon S, Wise RP et al. Tuberculosis associated with infliximab, a tumor necrosis factor alpha neutralizing agent. N Engl J Med 2001?; 3453?: 1098-104.
[2] Antoni C, Braun J. Side effects of anti-TNF therapy?: current knowledge. Clin Exp Rheumatol 2002?; 20?: S152-S157.
[3] Franck N, Cabi? A, Villette B et al. Treatment of Mycobacterium chelonae-induced infection with clarithromycin. J Am Acad Dermatol 1993?; 28?: 1019-21.



