p111 - Pemphigus vulgaire localis? sur cicatrice de br?lure chimique
J?Pouaha?(1), B?Charrier?(2), C?Dornier?(3), M?Baudin?(4), F?Truchetet?(3), JF?Cuny?(1)
(1)Service de Dermatologie, CHR de Metz-Thionville, Metz
(2)Cabinet M?dical, 2 Place de l'H?tel de Ville, Rombas
(3)Service de Dermatologie, CHR de Metz-Thionville, Thionville
(4)Laboratoire de Cytologie Pathologique, 2 Place de Turenne, Thionville.
Mots cl?s : Pemphigus (br?lure).
Introduction
De nombreux facteurs chimiques ou physiques sont susceptibles de d?clencher ou d'aggraver un pemphigus [1] Quelques rares cas de pemphigus sur cicatrice de br?lure chimique ont ?t? d?crits. Nous rapportons une observation originale de pemphigus vulgaire localis? ? la main gauche survenu deux mois apr?s une br?lure chimique.
Observation
Une patiente ?g?e de 45 ans, sans ant?c?dents particuliers, consultait pour une dermatose v?siculo-pustuleuse de l'?minence hypoth?nar et de la moiti? de la face dorsale de la main gauche apparue ? la suite d'une br?lure chimique. Cette patiente ?tait agent de m?nage et s'?tait br?l?e au niveau de la main gauche par un d?sinfectant appel? «?Netflore d?graissant liquide?» qui contenait de l'acide phosphorique ? la concentration de 5 ? 15?%, de l'acide citrique (15-25?%) et d'agents tensioactifs anioniques (5-15?%). La dermatose ?tait survenue deux mois apr?s au site de la br?lure. Elle ne prenait aucun m?dicament. Elle ?tait trait?e par antiseptique et par aciclovir sans am?lioration.
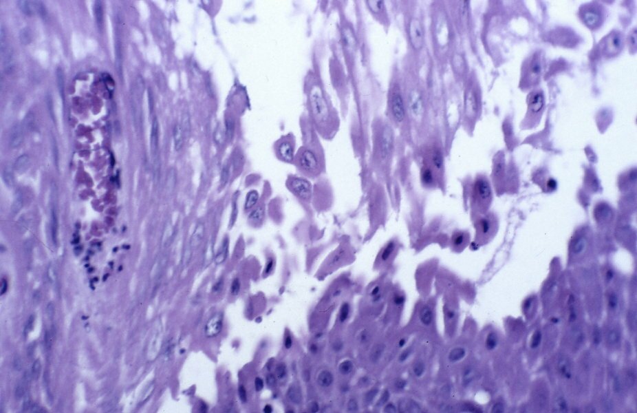
L'examen clinique ne retrouvait pas d'autres l?sions cutan?es, ni d'atteinte muqueuse et des ongles. L'examen histologique d'un pr?l?vement cutan? objectivait une acantholyse aboutissant ? la constitution d'une bulle intra ?pidermique. L'immunofluorescence directe montrait des d?p?ts d'IgG au niveau des espaces intercellulaires de l'?piderme. Le bilan biologique ?tait normal. La recherche d'anticorps anti espace intercellulaire ?tait n?gative. L'immunoblot n'?tait pas r?alis?. Le diagnostic retenu ?tait celui de pemphigus vulgaire localis? sur cicatrice de br?lure. La patiente ?tait trait?e par Clob?tasol (Dermoval?) pendant 3 mois puis par dapsone 100 mg/J (Disulone?) sans am?lioration. Un traitement par prednisone (Cortancyl?) ? 1mg/kg/j ?tait introduit entra?nant une am?lioration transitoire. La posologie de la prednisone ?tait augment?e ? 1,5 mg/kg/j puis ? 2 mg/kg/j. L '?volution ?tait favorable. Avec un recul de 6 mois, nous n'avons pas not? de r?cidive.
Discussion
Le pemphigus est une maladie bulleuse auto-immune caract?ris?e par la survenue de bulles intra ?pidermiques. Une revue de la litt?rature (sur 14 ann?es) nous a permis de recenser quinze cas de pemphigus localis?s?: 4 cas de pemphigus superficiel et 11 cas de pemphigus vulgaire. Une extension secondaire a ?t? d?crite dans 3 observations. Seuls deux cas de pemphigus vulgaire apparus sur cicatrice de br?lure chimique ont ?t? rapport?s. Le premier cas ?tant survenu 4 semaines apr?s un peeling profond [2] et le second apr?s un contact avec du ph?nol [3]. Notre observation est le troisi?me cas. Les l?sions sont apparues ? la suite d'un contact avec un d?sinfectant contenant des acides ? la concentration de 5 ? 15?%. L'?volution ?tait lente, malgr? la corticoth?rapie g?n?rale.
Cette observation peut ?tre compar?e ? des cas de pemphigus survenant apr?s des br?lures thermiques, les radiations ionisantes et les rayons ultraviolets. Dans les cas de pemphigus sur cicatrice chirurgicale, le d?lai d'apparition peut varier de 2 mois ? 40 ans.
La survenue de pemphigus sur cicatrice est assimilable ? un ph?nom?ne de Koebner et pourrait ?tre li?e ? la r?v?lation anormale par la br?lure d'un antig?ne intrak?ratinocytaire qui devient alors immunog?ne. L'?volution est favorable sous traitement par prednisone.
[1] Cerottini JP et al. Eur J Dermatol 2000?; 10?: 546-7.
[2] Kaplan PR et al. Int J Dermatol 1993?; 32?: 100-3.
[3] Goldberg I et al. Dermatology 2001?; 203?: 335-6.



