p21 - Paraffinome apr?s chirurgie cutan?e
C?Derancourt?(1), E?Grosshans?(2), V?Barre?(3), F?Champeaux?(4), S?Verraes-Derancourt?(1), P?Bernard?(1)
(1)Service de Dermatologie, H?pital Robert Debr?, CHU, Reims
(2)Clinique Dermatologique, H?pital Civil, Strasbourg
(3)Cabinet M?dical, 5, rue Saint R?my, Soissons
(4)Clinique Chirurgicale, Clinique Soissons, Soissons.
Mots cl?s : Paraffinome (chirurgie).
Introduction
Les cas de paraffinome sont rares, habituellement d?crits apr?s chirurgie nasale, mammaire ou sur des sites d'auto-injections d'agents huileux (fesses, cuisses, organes g?nitaux). Nous rapportons ici une observation exceptionnelle de paraffinome de l'avant-bras survenu dans les suites d'une chirurgie cutan?e.
Observation
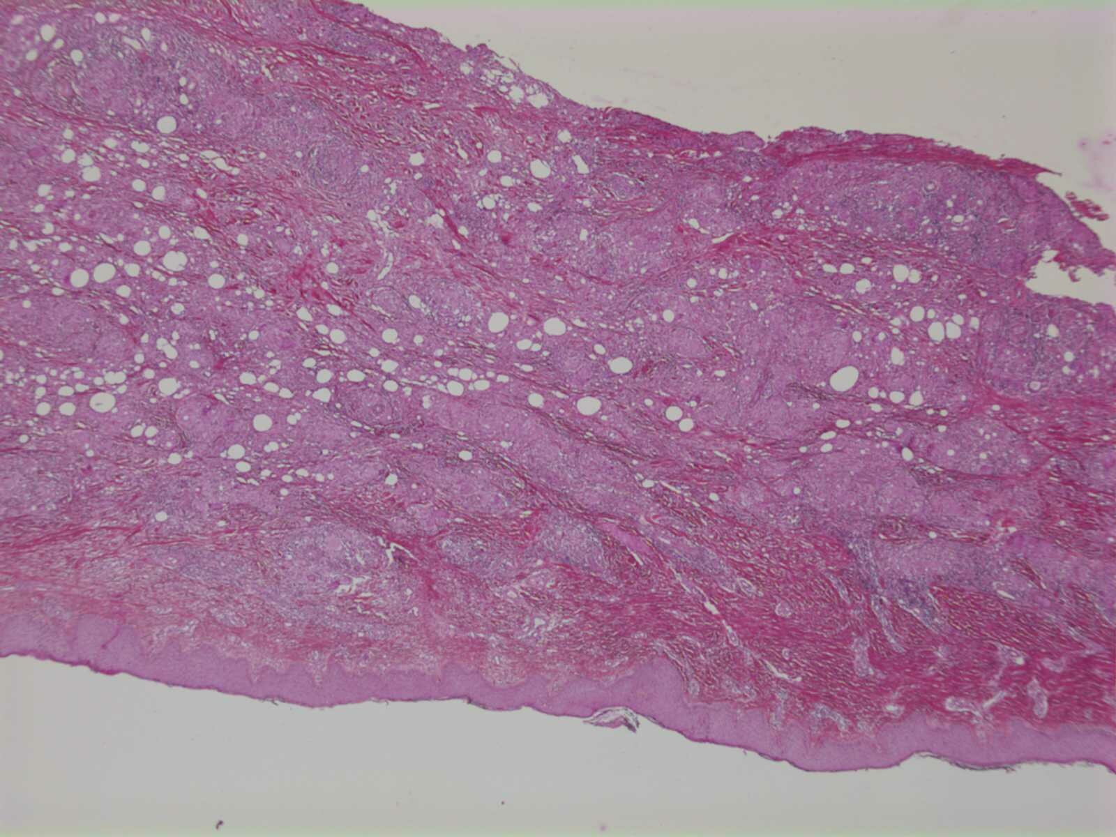
Mr T., ?g? de 77 ans, consultait pour la survenue d'une infiltration de la face ant?rieure de l'avant-bras droit, apparue brutalement quelques mois auparavant dans les suites d'un effort physique. Ses principaux ant?c?dents ?taient une arythmie cardiaque trait?e par T?normine?, une maladie de Bowen palp?brale inf?rieure gauche trait?e chirurgicalement 4 ann?es auparavant (avec prise de greffe sur l'avant-bras droit) et un tabagisme stopp? ? 20 paquets-ann?e. La survenue de l'infiltration douloureuse avait justifi? d'un bilan biologique normal, d'un traitement empirique de borr?liose par ceftriaxone, d'une antibioth?rapie locale (mupirocine) puis g?n?rale (amoxicilline) pendant 15 jours. Dans les suites ?tait survenue une phl?bite superficielle ayant justifi? une h?parinoth?rapie. Cliniquement, le patient pr?sentait une infiltration ferme ? la palpation s'?tendant du pli du coude ? la face ant?rieure du poignet, par endroit violac?e, h?matique, non inflammatoire. Le bilan biologique ?tait normal (bilan inflammatoire, NFS, biologique h?patique, r?nale, s?rologie de borr?liose, anticorps anti-nucl?aires). L'IRM de l'avant-bras gauche r?v?lait un ?paississement de l'hypoderme de la face ant?rieure de l'avant-bras donnant un hypersignal sur les pond?rations T2 et un hyposignal sur les pond?rations T1, non sp?cifique. L'examen histopathologique d'une biopsie cutan?e profonde r?v?lait un granulome diffus, parfois micronodulaire, riche en cellules g?antes multinucl??es de type x?nique, creus?es de tr?s nombreuses cavit?s mesurant 30 ? 150 m, identiques dans la partie dermique et hypodermique, sans contenu visible ni en lumi?re directe, ni en lumi?re polaris?e, de paroi non bir?fringeante en lumi?re polaris?e, correspondant ? un tr?s volumineux granulome ? corps ?tranger de nature lipidique ?voquant un paraffinome, un ol?ome ou un granulome sur huile de silicone. L'enqu?te r?trospective a permis de r?v?ler l'application d'huile de paraffine sur le site de prise de greffe de l'avant-bras droit lors de l'ex?r?se chirurgicale de la maladie de Bowen palp?brale. Nous avons pr?conis? l'abstention th?rapeutique et la surveillance.
Commentaires
Les r?actions granulomateuses aux agents huileux sont d?crites de longue date. Il s'agit de l?sions granulomateuses sur corps ?trangers (v?sicules optiquement vides) secondaires autrefois ? des actes chirurgicaux (seins, visage, organes g?nitaux), ? des th?rapeutiques huileuses inject?es (fesses, cuisses, h?morro?des), ou lors d'auto-injections volontaires (organes g?nitaux) parfois dans le cadre d'une pathomimie. Il s'agit cliniquement de plaques puis de nodules infiltr?s d'?volution progressive pouvant se compliquer d'ulc?rations, d'isch?mie ou de thrombose veineuse par compression. Il n'y a pas de traitement m?dicamenteux efficace, seule la chirurgie d'excision et de d?compression peut ?tre n?cessaire. L'observation de notre patient est exceptionnelle du fait de la localisation sur les avant-bras [1]?; il s'agit ?galement de la premi?re observation de paraffinome survenant sur site de prise de greffe cutan?e, alors m?me que l'huile de paraffine est appliqu?e syst?matiquement sur les lames des dermatomes manuels pour optimiser les coupes des greffons cutan?s.
|
Iconographie?: |
[1] Galland MC et al. Therapie 1990?; 45?: 27-32.


