p14 - Calcinose pseudo-tumorale de localisation inhabituelle chez un patient h?modialys?
AL?Labrousse?(1), P?Clavel?(2), E?Majek Zakine?(3), Z?Reguiai?(1), P?Bernard?(1)
(1)Service de Dermatologie, H?pital Robert Debr?, CHU, Reims
(2)Service de N?phrologie, H?pital Maison-Blanche, Reims
(3)Service d'Anatomo-Pathologie, H?pital Robert Debr?, CHU, Reims.
Mots cl?s : Calcinose pseudo-tumorale (h?modialyse).
Introduction
La survenue de calcifications tissulaires (cardiaques, art?rielles, pulmonaires, articulaires...) est fr?quente chez l'insuffisant r?nal chronique (IRC). Elle concerne avant tout les patients dialys?s, chez lesquels elle constitue un facteur de morbidit? et/ou mortalit? pr?occupant. La calcinose pseudo-tumorale (CPT) repr?sente une entit? rare, se traduisant par une calcification ?tendue des tissus p?ri-articulaires. Nous rapportons un cas de CPT chez un patient h?modialys?, exceptionnelle par sa localisation et son ?volution locale invasive.
Observation
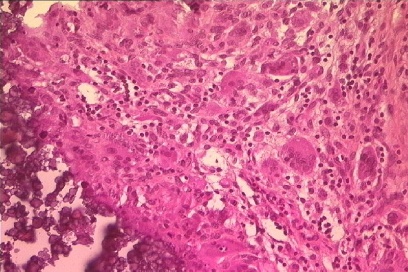
Un patient de 30 ans consultait en janvier 2003 pour une volumineuse tum?faction cervicale basse post?rieure (> 10 cm), apparue huit mois auparavant, et qui avait rapidement augment? de taille les deux derniers mois, devenant douloureuse ? l'hyperextension du rachis cervical et lors de l'antepulsion. Dans ses ant?c?dents, on notait une insuffisance r?nale chronique terminale (IRCT) en rapport avec une dysplasie r?nale kystique cong?nitale, ayant conduit ? l'h?modialyse en janvier 2002, et la notion de traumatisme cervical en septembre 2001 (chute de 10 m). A la palpation, la tumeur apparaissait ferme et fix?e au plan profond, faisant ?voquer un processus n?oplasique. Le bilan biologique objectivait?: an?mie ? 10,2 g/dl, VS ? 80, cr?atinin?mie ? 860 mmol/l, hyperphosphor?mie ? 2,4 mmol/l (N<1,4), hypercalc?mie ? 2,9 mmol/l (N<2,6), taux d'hormone parathyro?dienne ?lev? ? 624 pcg/ml (N<53), phosphatases alcalines augment?es ? 180 UI/l (N<120). L'IRM cervicale mettait en ?vidence une masse h?t?rog?ne, multiloculaire, calcifi?e, infiltrant les muscles paraspinaux avec ost?olyse de l'?pineuse de C6. Le scanner thoraco-abdomino-pelvien ?tait normal. L'examen anatomo-pathologique d'une biopsie chirurgicale de la tumeur montrait la pr?sence d'espaces pseudo-kystiques avec d?p?ts calciques ?tendus, entour?s d'une r?action granulomateuse giganto-cellulaire floride, s'associant ? une fibrose inflammatoire marqu?e, avec capillaires dilat?s, faisant le diagnostic de CPT. La nature dysm?tabolique b?nigne de la l?sion, le contexte d'IRCT avec augmentation du produit phospho-calcique et hyperparathyro?die secondaire, ont conduit ? proposer la prise en charge th?rapeutique suivante?: abstention chirurgicale, parathyro?dectomie subtotale, ?quilibre phospho-calcique (ch?lateurs du phosphore), indication prioritaire d'une transplantation r?nale.
Commentaires
La CPT peut relever de diff?rents m?canismes pathog?niques, pouvant ?tre soit primitive (hyperphosphat?mique en rapport avec une anomalie g?n?tique de la r?absorption tubulaire proximale du phosphore, ou normophosphat?mique), soit secondaire, chez des patients atteints d'IRC, h?modialys?s, pr?sentant une augmentation du produit phospho-calcique, avec ou sans hyperparathyro?die. Les sites concern?s sont g?n?ralement les hanches, les coudes, les ?paules, ou les extr?mit?s [1]. La CPT localis?e au contact du rachis cervical a ?t? tr?s rarement rapport?e dans la litt?rature [2]. Notre observation permet de rappeler le r?le favorisant de facteurs locaux traumatiques dans l'initiation du ph?nom?ne de cristallisation (micro-saignements articulaires, alt?rations matricielles secondaires ? une isch?mie locale de pression lors du decubitus...), en modifiant l'affinit? des prot?ines tissulaires pour le calcium [3]. Toutefois, la localisation pr?cise des premiers d?p?ts demeure inconnue. L'atteinte osseuse est inhabituelle, favoris?e par les microtraumatismes r?p?t?s de l'os par la grande taille de la tumeur. Le traitement de la CPT est difficile et parfois d?cevant chez l'IRC. L'ex?r?se chirurgicale, quand elle est pr?coce, est g?n?ralement recommand?e. En cas de l?sion avanc?e, le risque de r?cidive est fr?quent apr?s chirurgie [3].
[1] Mac Kee et al. Br J Dermatol 1982?; 107?: 669-74.
[2] Matsukado K et al. Neurol Med Chir 2001?; 41?: 411-4.
[3] Baums MH et al. Arch Orthop Trauma Surg 2003?; 123?: 51-3.



