p6 - Abc?s vulvaire aseptique, une dermatose neutrophilique rare
A?Karam?(1), B?Sassolas?(1), C?Gouedard?(1), A?Boulenger-Vazel?(1), I?Kufer?(1), JP?Leroy?(2), L?Misery?(1)
(1)Service de Dermatologie, CHU Morvan, Brest
(2)Service d'Anatomo-Pathologie, CHU Morvan, Brest.
Mots cl?s : Dermatose neutrophilique.
Introduction
Les abc?s cutan?s ou visc?raux aseptiques correspondent ? une localisation profonde de dermatose neutrophilique. Ils ont ?t? d?crits au cours des maladies inflammatoires articulaires ou du tube digestif ou au cours des h?mopathies malignes. Nous en rapportons une observation gravidique originale par sa localisation vulvaire.
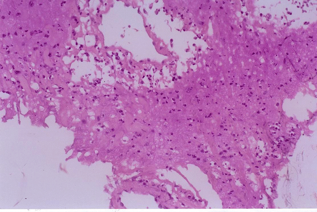
Observation
Mme K.N, 28 ans, enceinte (au terme de 28e semaines d'am?norrh?e), ?tait hospitalis?e en gyn?cologie pour un oed?me violine indur? et tr?s douloureux de la grande l?vre gauche respectant le vestibule et la paroi ?voluant depuis 72 heures sans notion de traumatisme externe.
Elle ?tait en bon ?tat g?n?ral, malgr? un f?bricule ? 37,8 C? et des polyarthralgies. Il n'y avait pas d'ad?nopathie satellite ni d'oed?me des membres inf?rieurs. L'?cho-doppler veineux du r?seau vulvo-p?rin?al ne montrait pas de thrombose. La NFS r?v?lait une polynucl?ose neutrophile ? 20?700 par ml. La CRP ?tait normale (< 5 mg/l). Vingt-quatre heures plus tard, on constatait la disparition de l'induration de la grande l?vre et l'apparition d'une volumineuse formation fluctuante sous-cutan?e. L'oed?me et la douleur persistaient. Le pr?l?vement biopsique a permis le drainage spontan? d'un liquide purulent, riche en polynucl?aires neutrophiles et st?rile microbiologiquement, et sans lamelle de k?ratine. L'examen histologique montrait un oed?me et une infiltration de l'hypoderme par des polynucl?aires neutrophiles sans vascularite ni image granulomateuse ou lamelles de k?ratine ni de cellules s?bac?es, la coloration PAS ?tait n?gative. Le drainage chirurgical ?tait inefficace (r?cidive apr?s 7 jours). L'ensemble du tableau clinique et biologique r?gressait apr?s 10 jours de traitement par Prednisone (0,4 mg/kg/jour).
Discussion
Les dermatoses neutrophiliques regroupent plusieurs entit?s. Le syndrome de Sweet, le pyoderma gangrenosum, la pustulose sous-corn?e de Sneddon-Willkinson et l'erythema elevtum diutinum sont les plus classiques. De nouvelles formes cliniques ont ?t? d?crites?: syndromes de chevauchement, abc?s visc?raux st?riles, et r?cemment abc?s cutan?s aseptiques comme dans notre observation.
Les dermatoses neutrophiliques les plus fr?quentes au cours de la grossesse sont le syndrome de Sweet et le pyoderma gangrenosum, l'imp?tigo herp?tiforme ?tant rare. Aucune observation d'abc?s hypodermique st?rile n'a ?t? d?crite jusqu'? pr?sent.
Ces abc?s aseptiques sont caract?ris?s par?: a) leur aspect clinique commun s'accompagnant de pouss?es f?briles avec polynuc?ose neutrophile, b) leur caract?re aseptique, c) un infiltrat de polynucl?aires neutrophiles dans l'hypoderme, d) leur ?volution spontan?e vers la fistulisation, e) leur association ? des maladies inflammatoires articulaires ou du tube digestif et des h?mopathies malignes. Seul ce dernier caract?re n'est pas retrouv? chez notre patiente.
Notre observation gravidique est originale par sa localisation. Le diagnostic diff?rentiel se pose avec la bartholinite aigu? (vestibule et anneau hym?n?al, septique), le kyste ?pidermo?de inflammatoire (petite taille, superficielle).
Le traitement ne n?cessite pas d'antibioth?rapie ou de drainage chirurgical. La sensibilit? des abc?s aseptiques aux cortico?des, aux AINS et ? la dapsone est similaire ? celle des autres dermatoses neutrophiliques.
[1] Carvalho P, Cordel N, Courville P, Leloet X, Heron F, Lauret P, Joly P. Cutaneous aseptic abscesses, manifestations of neutrophilic diseases. Ann Dermatol Venereol 2001?; 128?: 641-3.



